facebook
 
December 25, 2025

Can you regain the bone supporting your teeth without invasive surgery? Millions of people facing periodontal disease wonder if natural approaches can truly make a difference. The reality is both encouraging and honest: while severe bone loss may require professional intervention, reversing bone loss in teeth naturally is possible when you combine evidence-based dietary strategies,...

November 20, 2025

A throbbing toothache that won’t go away might seem like a minor inconvenience, but it could signal something far more serious. Tooth infections don’t simply disappear on their own, and the longer you wait to treat one, the greater the risk to your overall health. What starts as a manageable dental problem can escalate into...

November 19, 2025

Have you noticed your teeth looking longer lately, or experienced sudden sensitivity when drinking hot coffee? These could be early signs of gum recession, a common dental problem that affects millions of people but often goes unnoticed until it becomes serious. Gum recession occurs when the soft tissue that surrounds and protects your teeth gradually...

November 11, 2025

You wake up with a throbbing ear that won’t go away. You reach for pain relievers, but nothing seems to help. What if the real culprit isn’t your ear at all, but a problem hiding in your mouth? The connection between dental health and ear pain is surprisingly common, yet many people overlook it. Your...

November 4, 2025

Have you noticed a visible gap between your tooth and gum that wasn’t there before? This common dental concern often goes unnoticed until it becomes uncomfortable or catches your attention in the mirror. What many people don’t realize is that a gap between tooth and gum can signal more than just a cosmetic issue. It...

November 19, 2024

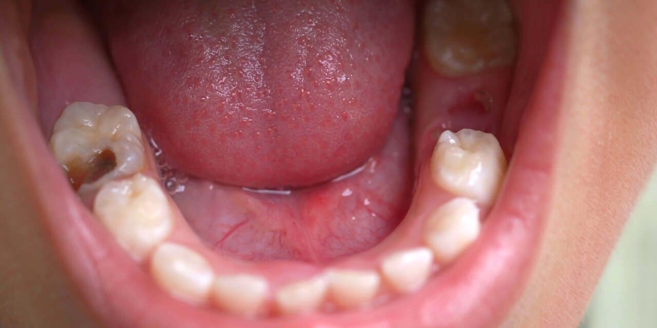
Understanding the difference between a tooth cavity vs decay​ is important for maintaining good dental health. While these terms are often used interchangeably, they actually represent different stages of dental disease that affect millions of people worldwide. Whether you’re dealing with early signs of tooth decay or worried about developing cavities, knowing how to spot...

May 22, 2024

Located in the center of Las Vegas, Smile Vegas Dental is a shining example of cutting-edge dental treatment. With the tremendous improvements in technology and dental treatments, maintaining excellent oral health is now easier and more enjoyable than ever. This article examines how Smile Vegas Dental uses cutting-edge dental treatments, such Invisalign and Las Vegas...

May 15, 2024

In addition to being well-known for its lavish lifestyles and eye-catching entertainment, Las Vegas is also a center for first-rate dental and medical care. It is impossible to overestimate the significance of keeping one’s teeth in good condition in a city that never sleeps. Not only is it essential to maintain the health and function...

Get in Touch

(702) 660-2646

Copyright 2023 Smile Vegas Dental. All rights reserved.

Copyright by Smile Vegas Dental. All rights reserved.

bt_bb_section_top_section_coverage_image